Visit our clinic today
10:00AM to 2:00PM Reopens 05:00PM to 09:00PM

Follow us

Visit our clinic today
10:00AM to 2:00PM Reopens 05:00PM to 09:00PM

Follow us

Drag

Gallery

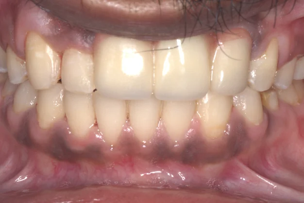
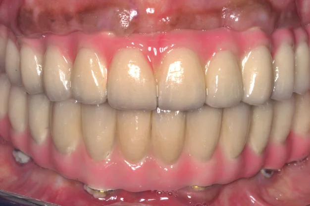
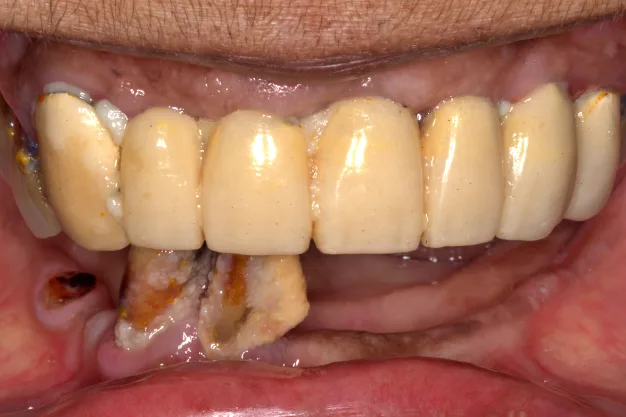
Before & After Results

A Closer Look at Studio Dentiica

The Gallery of Studio Dentiica offers a transparent glimpse into the clinic’s infrastructure, advanced equipment, and patient-focused environment in Thane West. Every space reflects hygiene, comfort, and precision-driven dentistry.

Cosmetic Bonding

Full Mouth Rehabilitation

Full Mouth Rehabilitation

Cosmetic Bonding

Full Mouth Rehabilitation

Full Mouth Rehabilitation

Tooth Reconstruction

Orthodontic

Orthodontic

Tooth Reconstruction

Orthodontic

Orthodontic

Veneer

Tooth Whitening

Missing Teeth Replacement

Veneer

Tooth Whitening

Missing Teeth Replacement

© Copyright 2026 @Dentiica | Designed & Developed By MediGrow.ae